Do you grind your teeth while you sleep?
Bruxism is one of the most common conditions affecting the oral health of both adults and young people—yet many don’t even realize they have it.
If you wake up with jaw pain, facial stiffness, or notice your teeth look more worn than usual, you might be dealing with this issue.
At Odonto Murillo, a dental clinic in Armenia, Quindío, led by Dr. Gabriel Murillo, we offer a comprehensive bruxism treatment designed to relieve pain, protect your teeth, and improve your quality of life. We serve patients across the entire Coffee Region, providing warm, professional care supported by advanced technology.
What Is Bruxism?
Bruxism is the unconscious habit of clenching or grinding your teeth, especially during sleep—although some people also do it during the day in moments of stress or deep concentration.
While it may seem harmless, this involuntary movement can cause significant damage over time, leading to tooth wear, fractures, sensitivity, and even headaches or neck pain.
In most cases, bruxism is linked to emotional factors, muscle tension, or bite misalignment. That’s why effective treatment requires a comprehensive approach that combines dental diagnosis, functional correction, and stress relief.
Causes and Symptoms of Bruxism
The exact cause of bruxism isn’t always easy to identify, as it often results from a mix of physical and emotional factors. However, understanding its causes and symptoms is the first step toward effective treatment.
Most Common Causes
Bruxism can have multiple origins, including:
- Stress and anxiety: Daily worries and tension often manifest physically during sleep.
- Bite misalignment: When teeth don’t fit together properly, the jaw compensates through involuntary movements.
- Sleep disorders: Insomnia, apnea, or frequent awakenings are often associated with bruxism.
- Stimulant use: Excessive caffeine, alcohol, or tobacco can increase muscle tension.
- Neurological or genetic factors: In some cases, bruxism may be related to family history or neuromuscular conditions.
Common Symptoms
Bruxism can go unnoticed for years, but its signs are clear when you know what to look for:
- Jaw pain or stiffness upon waking
- Flattened or worn teeth
- Headaches or neck pain
- Clicking sounds when opening or closing the mouth
- Tooth sensitivity
- Ear pain without apparent infection
- Sleep disturbances
Consequences of Not Treating Bruxism
Ignoring bruxism can lead to progressive damage to both teeth and jaw joints. Over time, it may cause:
- Tooth fractures or microcracks
- Gum recession
- Temporomandibular joint (TMJ) disorders
- Chronic facial and neck pain
- Enamel loss and increased risk of cavities
If you suspect you suffer from bruxism, seeking professional evaluation is key to preventing complications.
Bruxism Treatment at Odonto Murillo
Our bruxism treatment in Armenia is tailored to each patient’s individual needs. The goal is to relieve pain, prevent dental wear, and restore functional balance to the jaw.
Treatment Stages
Clinical evaluation and precise diagnosis:
During the first visit, Dr. Gabriel Murillo performs a full examination of your bite, dental condition, and facial muscles. In some cases, panoramic X-rays or additional tests may be required to rule out joint issues.
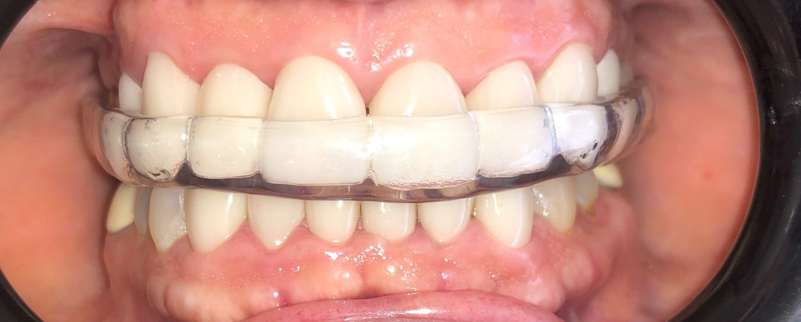
Design and fabrication of a custom night guard:
The night guard is a transparent, custom-made device worn during sleep. It protects your teeth from excessive contact and helps relax the jaw muscles.
Complementary therapies:
Depending on the case, treatment may include physical therapy, jaw exercises, or relaxation techniques to reduce muscle tension.
Follow-up and adjustments:
Each patient receives personalized follow-ups to monitor progress, make adjustments, and ensure comfort throughout the treatment.
Duration and Aftercare
Wearing a night guard is usually recommended for several months, depending on the severity of the condition and the patient’s progress.
Some basic care tips include:
- Avoid biting hard objects or using your teeth to open packages.
- Practice jaw relaxation exercises.
- Keep your night guard clean and hygienic.
- Manage stress through healthy activities.
Most patients notice a significant reduction in pain and tooth wear within the first few weeks.
Benefits of Bruxism Treatment at Odonto Murillo
Treating bruxism not only protects your teeth—it also improves your overall well-being. At Odonto Murillo, we combine oral health, aesthetics, and comfort in every treatment.
Key Benefits
- Protection against dental wear:
The custom night guard acts as a barrier, preventing tooth damage caused by constant grinding.
- Relief from jaw and muscle pain:
Reduced tension in the jaw promotes better rest and eliminates facial and neck discomfort.
- Prevention of fractures and sensitivity:
Lower pressure preserves enamel and reduces sensitivity to hot or cold foods.
- Better sleep and rest quality:
Sleeping without teeth grinding leads to deeper, more restorative sleep.
- Restored facial harmony:
Proper treatment balances muscle function and can improve facial expression.
Frequently Asked Questions About Bruxism Treatment
If you wake up with jaw pain, facial tension, or worn teeth, you likely have bruxism. The only way to confirm it is through a professional dental evaluation.
Bruxism can be effectively managed with proper treatment, although it may return in cases of high stress or bite imbalance.
We use rigid, custom-made guards crafted from high-quality materials, designed through digital impressions for a perfect fit.
It’s not recommended. Generic guards may alter your bite or cause discomfort. A custom-made device by a professional dentist is always best.
Not at all. The guard is comfortable and adapts perfectly to your mouth. Most patients feel relief within the first few days.
Leaving it untreated can lead to fractures, chronic pain, and joint issues. The sooner you start treatment, the better the results.
It varies by case. Some patients improve in a few weeks, while others need to wear the guard for several months to maintain results.
Why Choose Dr. Gabriel Murillo in Colombia
Dr. Gabriel Murillo is an experienced dentist specializing in personalized oral treatments. At Odonto Murillo, he combines modern technology, accurate diagnostics, and compassionate care to provide effective, long-lasting results.
We stand out for:
- A comprehensive approach to oral health
- State-of-the-art digital equipment
- Warm and empathetic care
- Expertise in functional and aesthetic disorders
- Comfortable, lasting results for every patient
At every appointment, your well-being comes first. We accompany you through every step of your recovery.
Book Your Bruxism Treatment in Armenia
If you suspect you suffer from bruxism or have noticed tooth wear, don’t wait any longer. A timely diagnosis can prevent major complications and improve your sleep quality.
📍 We are located in Colombia, Quindío, serving patients throughout the Coffee Region.
Schedule your appointment with Dr. Gabriel Murillo and receive a complete evaluation of your case.
👉 Contact us today and take the first step toward a healthy, pain-free smile.



